Handheld Ultrasound Review: EagleView Dual-Head Wireless for POCUS
Choose the One from All: An Objective Review of EagleView Ultrasound (POCUS)
Written by Dr. Wiley (Pulmonology & Critical Care Physician) - Published on Dec 28, 2025

EagleView is a compact, smartphone-sized, dual-head wireless handheld ultrasound built for daily POCUS and ultrasound-guided procedures in critical care.
What I like: strong linear-probe performance for vascular access, practical image examples, quick start when you power on first then open the app.
What to note: image quality is not sufficient for cardiac evaluation in my experience, and the device becomes warm after ~10 minutes of use.
Why POCUS Matters
Point-of-care ultrasound (POCUS) has become a game-changer in emergency and critical care settings. Traditional cart-based ultrasound systems can deliver strong image quality, but they are often heavy and expensive.
Choose the One from All Portable Ultrasound Machines
To choose a suitable device for POCUS, I created a comparison chart of leading handheld ultrasound brands on the market. As a physician, I consider both a convex probe (for abdominal surveys) and a linear probe (for vascular assessment and procedures) essential. A sector/phased probe is less critical for my routine critical care workflow, since many core applications can be covered with a convex probe. Wireless connectivity is also important for flexible bedside use and streamlined cleaning workflows. Finally, price matters—especially if your hospital isn’t able to purchase a system for you.
Comparison of Portable Ultrasound Machines on the Market

EagleView (CProbe-CL)
$2,700

Clarius
$3,590+

GE Vscan
$4,999+

Philips Lumify
$7,000+

Butterfly
$3899+
Probe Type
Dual-head
Single head
Dual-head
Single head
Single head
Convex
Linear
Phased
Signal transmission
Wifi
Wifi
Wifi
Cable
Cable
Comparison of the Convex Probe for POCUS Use

EagleView (CProbe-CL)

Clarius C3 HD3

GE Vscan Air (CL)

Philips Lumify C5-2

Butterfly iQ3
Price (USD)
$2700
$3590 + $595/yr membership
$4999+
$7000+
Array / Probe Type
Dual-head (Convex + Linear + Phased)
Convex
Dual (Convex + Linear)
Convex
Frequency (MHZ)
Convex 3.5/5, Linear 7.5/10
2-6
Convex 2–5
5-2
Max Depth
Convex 30.5cm,
Linear 10cm
40cm
24cm
30cm
Imaging Modes
B / M / Color/ PW / PD
B / M / Color / PD / PW
B / M / CD / PW
Membership tiers include M-mode/Color; higher tiers add Power + PW
Applications
Vascular, MSK, breast, pediatrics, thyroid, carotid, small parts, nerve, abdomen, cardiac, gynecology, obstetrics, urology, kidney, lung
Abdomen, bladder, cardiac, lung, MSK, superficial, nerve, OB/GYN, prostate, labor & delivery, hip, shoulder, spine.
OB/GYN, abdominal imaging, MSK, and more
Abdomen, lung, vascular, OB/GYN, MSK
Connectivity
Wi-Fi
Wi-Fi
Wi-Fi
Cable
Weight
260g /9.2oz
308g /10.9oz
205g /7.2oz
135g /4.8oz
Scan Time / Battery
3–5 hrs
60 min
50 min
2-5 hrs
Warranty
18/36 months (optional)
3-year
3-year
5-year
Subscription
No
Membership not required to function, but gates advanced features & cloud/DICOM
No
199×12*
CD: color Doppler, PD: power Doppler, PWD: pulsed-wave Doppler.
Eagleview Ultrasound Scanner Review
Smartphone sized EagleView is compact and wireless. It is a suitable device for physicians doing POCUS every day and help doctors do sono-guided interventions, such as central venous catheter insertion, pigtail insertion or sono-guided biopsies, in the critical care unit.
The device I received was in a compact box, including a charger pad, a brief user manual and the EagleView portable ultrasound itself. Then I did some scans on the patients and myself immediately.

Case 1: Vessel demonstration
Demonstration of the left common carotid artery and the internal jugular vein in B mode(left) and with color doppler(right). This picture is suitable for sono-guided needle placement.
These were the images obtained from a 95-year-old man who was admitted to ICU for septic shock and we need to place a central venous catheter for him.


Case 2: Pleural effusion
Demonstration of bilateral pleural effusion. The left picture shows a small amount of pleural effusion with collapsed lung, diaphragm and spleen. The right picture shows a large amount of pleural effusion, diaphragm and liver.
These images were obtained from an 80-year-old man with heart failure and general edema. Chest film showed bilateral blunt costophrenic angles. We planned to place a pigtail to drain his pleural effusion out.


Case 3: Image quality check on health subjects
To check the image quality of EagleView, we do some scans on healthy subjects.
1. Thyroid survey


Thyroid and common carotid artery in B mode and with color doppler.

Thyroid isthmus and trachea.

Sagittal view of the thyroid gland.
Images of thyoid scan on a 35-year-old healthy man.
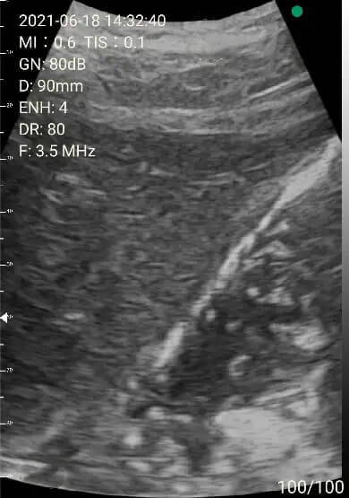
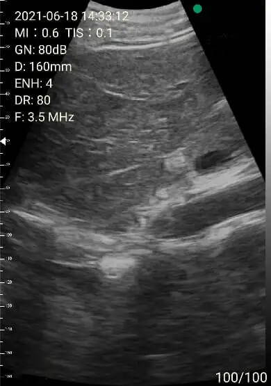
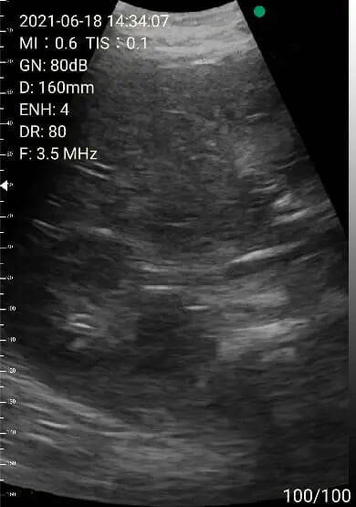
2. Abdomen review

Left lobe of liver

Portal area

Right lobe of liver

Left lobe of liver

Portal area

Right lobe of liver
Images of thyoid scan on a 35-year-old healthy man.
Conclusion
It’s a compact, lightweight, wireless portable ultrasound scanner with good quality of linear probe and fair quality of convex probe. The boot-up is quick within 30 seconds if you boot the device first and then open the smartphone app. However, the image quality is still not good enough to do the cardiac evaluation.
Generally, it’s a machine worth its price and could help doctors without an ultrasound machine or with really old ultrasound machines.
Related Products
Subscribe
Get promotions, ultrasound resources, case studies, and news here!
Point-of-Care Imaging in the Palm of Your Hand
3-In-1 Probe
No Subscription Fee
18/36-Month Warranty
30-Day Free Return
✔️ 30-Day Money-Back Guarantee